If you or someone you know is over the age of 40 (and I think this would cover just about everyone), you have probably heard someone say, or said yourself, something like:
“I’ve got arthritis in my knees”
“Oh I can’t do that, I have bad knees”
“I used to be a runner, so I have wear-and-tear in my joints”
“The doctor says I have bone-on-bone in my knees”
All of these phrases are commonly used to refer to a joint disease called osteoarthritis.


What is knee osteoarthritis?
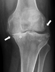
Let’s break this word down: osteo– refers to your bones, –arthr- refers to your joint, and –itis refers to inflammation and breakdown. So when we put this all together, osteoarthritis describes an inflammation and breakdown to the joint where two bones contact each other. While this could occur at any joint, it is most common (by far) in the knee joint.
Whether you are walking, running, climbing stairs, or getting out of a chair, your knee joint has to be able to support your entire body weight and move freely. It is able to do this because the bones which support your body weight are coated in an incredibly smooth, shock absorbing tissue called cartilage (if you want to learn more about this and other structures of the knee joint, click here). However, once you begin to develop osteoarthritis, this incredible cartilage begins to break down, become rough, and wear away. Over time, this breakdown will progress to a point where instead of supporting your body weight on a smooth cushion (your cartilage), you will be supporting your body weight on the rough ends of your bones. This is what your doctor means when they say “bone-on-bone”
When this happens, your knee will become stiff and painful, and you will have a hard time using your knees to do all the things you love, or need, to do like playing golf, going on walks, playing with your kids or grandkids, and getting up from a low chair.

How do I know if I have osteoarthritis?
First, your doctor may tell you that you have this. They may take an x-ray of your knee joint, or they may diagnose you based off asking you a few questions.
If you have not been diagnosed by your doctor, but you think you may have osteoarthritis, ask yourself the following questions
- Am I over the age of 50?
- Do I have knee stiffness in the morning, especially in the first 30 minutes after waking up?
- Does my knee joint crack, click, or grind when I move it?
- Do I feel tenderness or pain when I touch the bony edges of my knee joint?
- Can I see or feel enlargement or bumps along the edges of my knee joint?
If you answered yes to a few of those questions above, there’s a good chance that you have osteoarthritis.
What will happen if I have osteoarthritis?
Unfortunately, knee osteoarthritis tends to get worse over time. As the disease progresses, you will be at greater risk for:
- Falling
- Loss of ability to move around (like walking, going up and down stairs, or getting in and out of a chair)
- Loss of independence
For this reason, it is important that you begin addressing this issue as early as possible!
How can I treat osteoarthritis?
While there is not a “cure” for knee osteoarthritis, don’t be discouraged! There are many treatment options to help prevent many of the issues that osteoarthritis tends to cause. Talk with your healthcare provider about the following options:
- Weight loss: for people who are overweight or obese, weight-loss is one of the most effective tools we have for preventing the progression of osteoarthritis and eliminating joint pain.
- Exercise: Contrary to popular belief, exercise is actually incredibly beneficial for people with osteoarthritis! You have heard it called “wear-and-tear” of the knee joint, but this isn’t true at all. Exercises such as walking and strength training are not only safe, but they are one of the most effective tools for preventing all the negative outcomes associated with osteoarthritis
- Physical Therapy: Physical Therapists are highly trained doctors with extensive expertise in managing all types of knee pain, including osteoarthritis. A Physical Therapist will tailor an exercise program and treatment course to specifically address your goals and needs. Physical Therapy has been shown to be an extremely effective option for reducing your risk of pain, improving function, and preventing surgery for those with knee osteoarthritis.
- Medication: Some medications are effective for reducing pain and improving function for people with knee osteoarthritis. The most commonly used and recommended medications are over the counter non-steroidal anti-inflammatories (like Aspirin or Ibuprofen). Remember to talk with your doctor before starting any new medications!
- Injections: Your doctor may talk with you about injections for your knee osteoarthritis. These are most commonly steroid injections, which have been shown to provide short-term improvements in pain and knee function. It is important to remember that these injections are only intended for short-term benefits, as they do not provide much long-term prevention of pain and loss of function (for this, choose weight loss (if applicable), exercise, and Physical Therapy!)
- Surgery: The last option you have for osteoarthritis is knee surgery. Most commonly, these come in the form of arthroscopy (sometimes called “knee scope”) or total knee replacement. While these can be effective, remember that they should only be used as a last resort. Work with your healthcare provider to try all other options (listed above) before choosing surgery.
This has been a brief overview of osteoarthritis, but if you would like to learn more about fixing your knee pain and getting back to doing the things you love, check out my other content!








Leave a comment